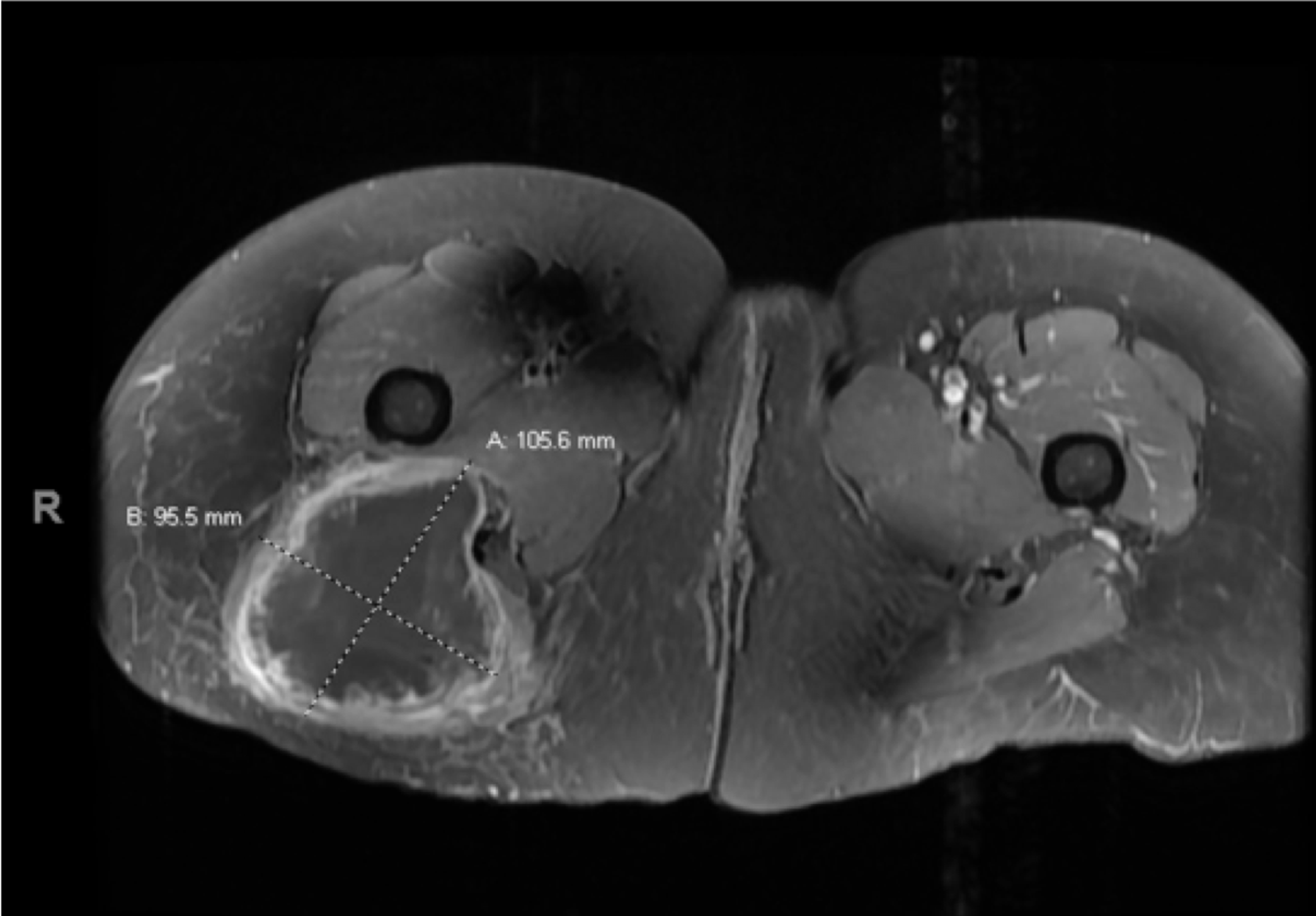
Pain In Left Buttock Cheek Cancer . A number of conditions can cause pain in the buttocks, from minor muscle strains to infections. Most of these conditions aren’t. Several conditions may cause pain in the buttocks, and the likelihood it’s caused by cancer is very low. Soft tissue sarcoma is a rare type of cancer that starts as a growth of cells in the body's soft tissues. Sarcomas can grow anywhere in the body, but they. A sarcoma is a type of cancer that develops in bone or soft tissues like muscle, nerves, fat, fibrous tissues, tendons, or blood vessels. Clinically there was a soft, diffuse, tender mass in the left buttock, with no evidence of abscess or cellulitis.
from pereaclinic.com
A number of conditions can cause pain in the buttocks, from minor muscle strains to infections. Soft tissue sarcoma is a rare type of cancer that starts as a growth of cells in the body's soft tissues. Several conditions may cause pain in the buttocks, and the likelihood it’s caused by cancer is very low. Sarcomas can grow anywhere in the body, but they. A sarcoma is a type of cancer that develops in bone or soft tissues like muscle, nerves, fat, fibrous tissues, tendons, or blood vessels. Most of these conditions aren’t. Clinically there was a soft, diffuse, tender mass in the left buttock, with no evidence of abscess or cellulitis.
What causes buttock pain and what can be done about it?
Pain In Left Buttock Cheek Cancer Soft tissue sarcoma is a rare type of cancer that starts as a growth of cells in the body's soft tissues. A number of conditions can cause pain in the buttocks, from minor muscle strains to infections. Several conditions may cause pain in the buttocks, and the likelihood it’s caused by cancer is very low. Clinically there was a soft, diffuse, tender mass in the left buttock, with no evidence of abscess or cellulitis. Soft tissue sarcoma is a rare type of cancer that starts as a growth of cells in the body's soft tissues. Sarcomas can grow anywhere in the body, but they. A sarcoma is a type of cancer that develops in bone or soft tissues like muscle, nerves, fat, fibrous tissues, tendons, or blood vessels. Most of these conditions aren’t.
From www.bespoketreatments.com
How Can I Get Rid of That Pain in My Butt Cheek? Bespoke Pain In Left Buttock Cheek Cancer Soft tissue sarcoma is a rare type of cancer that starts as a growth of cells in the body's soft tissues. Most of these conditions aren’t. A sarcoma is a type of cancer that develops in bone or soft tissues like muscle, nerves, fat, fibrous tissues, tendons, or blood vessels. Several conditions may cause pain in the buttocks, and the. Pain In Left Buttock Cheek Cancer.
From www.youtube.com
Left Butt Cheek Cancer YouTube Pain In Left Buttock Cheek Cancer Sarcomas can grow anywhere in the body, but they. Clinically there was a soft, diffuse, tender mass in the left buttock, with no evidence of abscess or cellulitis. Several conditions may cause pain in the buttocks, and the likelihood it’s caused by cancer is very low. A sarcoma is a type of cancer that develops in bone or soft tissues. Pain In Left Buttock Cheek Cancer.
From www.cureus.com
Cureus Perivascular Epithelioid Cell Tumor of the Buttock Region Pain In Left Buttock Cheek Cancer Soft tissue sarcoma is a rare type of cancer that starts as a growth of cells in the body's soft tissues. A number of conditions can cause pain in the buttocks, from minor muscle strains to infections. Most of these conditions aren’t. A sarcoma is a type of cancer that develops in bone or soft tissues like muscle, nerves, fat,. Pain In Left Buttock Cheek Cancer.
From sportdoctorlondon.com
Diagnosing Deep Buttock Pain A Comprehensive Guide Sport Doctor London Pain In Left Buttock Cheek Cancer Clinically there was a soft, diffuse, tender mass in the left buttock, with no evidence of abscess or cellulitis. Several conditions may cause pain in the buttocks, and the likelihood it’s caused by cancer is very low. Soft tissue sarcoma is a rare type of cancer that starts as a growth of cells in the body's soft tissues. A sarcoma. Pain In Left Buttock Cheek Cancer.
From www.verywellhealth.com
Rash on Butt Causes, Diagnosis, and Treatment Pain In Left Buttock Cheek Cancer Soft tissue sarcoma is a rare type of cancer that starts as a growth of cells in the body's soft tissues. Clinically there was a soft, diffuse, tender mass in the left buttock, with no evidence of abscess or cellulitis. Several conditions may cause pain in the buttocks, and the likelihood it’s caused by cancer is very low. Most of. Pain In Left Buttock Cheek Cancer.
From ovok.org
Buttock Pain as a Symptom of Cancer Causes and Treatment Options Ovok Pain In Left Buttock Cheek Cancer Most of these conditions aren’t. Soft tissue sarcoma is a rare type of cancer that starts as a growth of cells in the body's soft tissues. Several conditions may cause pain in the buttocks, and the likelihood it’s caused by cancer is very low. Sarcomas can grow anywhere in the body, but they. A sarcoma is a type of cancer. Pain In Left Buttock Cheek Cancer.
From tehranpain.ir
منشا درد باسن و پشت لگن در هنگام نشستن و یا راه رفتن چیست کلینیک Pain In Left Buttock Cheek Cancer A sarcoma is a type of cancer that develops in bone or soft tissues like muscle, nerves, fat, fibrous tissues, tendons, or blood vessels. A number of conditions can cause pain in the buttocks, from minor muscle strains to infections. Several conditions may cause pain in the buttocks, and the likelihood it’s caused by cancer is very low. Most of. Pain In Left Buttock Cheek Cancer.
From www.healthhp.com.au
Pain in the butt what could it be? Pain In Left Buttock Cheek Cancer Most of these conditions aren’t. Clinically there was a soft, diffuse, tender mass in the left buttock, with no evidence of abscess or cellulitis. A sarcoma is a type of cancer that develops in bone or soft tissues like muscle, nerves, fat, fibrous tissues, tendons, or blood vessels. Sarcomas can grow anywhere in the body, but they. A number of. Pain In Left Buttock Cheek Cancer.
From centenoschultz.com
Does Your Butt Hurt? It Might Not Just Be Muscle Tightness Pain In Left Buttock Cheek Cancer A number of conditions can cause pain in the buttocks, from minor muscle strains to infections. Soft tissue sarcoma is a rare type of cancer that starts as a growth of cells in the body's soft tissues. Clinically there was a soft, diffuse, tender mass in the left buttock, with no evidence of abscess or cellulitis. Most of these conditions. Pain In Left Buttock Cheek Cancer.
From mesotheliomanice.web.fc2.com
Can Cervical Cancer Cause Pain In Buttock Pain In Left Buttock Cheek Cancer Several conditions may cause pain in the buttocks, and the likelihood it’s caused by cancer is very low. Sarcomas can grow anywhere in the body, but they. Most of these conditions aren’t. Soft tissue sarcoma is a rare type of cancer that starts as a growth of cells in the body's soft tissues. Clinically there was a soft, diffuse, tender. Pain In Left Buttock Cheek Cancer.
From elevatephysio.com.sg
Pain in buttocks Why and What to do? Elevate Physiotherapy Pain In Left Buttock Cheek Cancer Soft tissue sarcoma is a rare type of cancer that starts as a growth of cells in the body's soft tissues. Sarcomas can grow anywhere in the body, but they. Several conditions may cause pain in the buttocks, and the likelihood it’s caused by cancer is very low. Clinically there was a soft, diffuse, tender mass in the left buttock,. Pain In Left Buttock Cheek Cancer.
From mediphysio.com.au
POSTERIOR BUTTOCK PAIN MediPhysio Pain In Left Buttock Cheek Cancer Several conditions may cause pain in the buttocks, and the likelihood it’s caused by cancer is very low. Soft tissue sarcoma is a rare type of cancer that starts as a growth of cells in the body's soft tissues. Clinically there was a soft, diffuse, tender mass in the left buttock, with no evidence of abscess or cellulitis. Most of. Pain In Left Buttock Cheek Cancer.
From www.toplinemd.com
Everything You Should Know About Pilonidal Cyst Advanced Surgical Pain In Left Buttock Cheek Cancer Clinically there was a soft, diffuse, tender mass in the left buttock, with no evidence of abscess or cellulitis. Most of these conditions aren’t. Soft tissue sarcoma is a rare type of cancer that starts as a growth of cells in the body's soft tissues. Several conditions may cause pain in the buttocks, and the likelihood it’s caused by cancer. Pain In Left Buttock Cheek Cancer.
From dralisongrimaldi.com
Getting to the bottom of buttock pain Part 2 Dr Alison Grimaldi Pain In Left Buttock Cheek Cancer Most of these conditions aren’t. Soft tissue sarcoma is a rare type of cancer that starts as a growth of cells in the body's soft tissues. Several conditions may cause pain in the buttocks, and the likelihood it’s caused by cancer is very low. A number of conditions can cause pain in the buttocks, from minor muscle strains to infections.. Pain In Left Buttock Cheek Cancer.
From www.howtogetridofsciatica.com
How to Relieve Buttock Muscle Pain with These Simple Measures Pain In Left Buttock Cheek Cancer A sarcoma is a type of cancer that develops in bone or soft tissues like muscle, nerves, fat, fibrous tissues, tendons, or blood vessels. Clinically there was a soft, diffuse, tender mass in the left buttock, with no evidence of abscess or cellulitis. Several conditions may cause pain in the buttocks, and the likelihood it’s caused by cancer is very. Pain In Left Buttock Cheek Cancer.
From www.youtube.com
What's that pain in the butt? YouTube Pain In Left Buttock Cheek Cancer A number of conditions can cause pain in the buttocks, from minor muscle strains to infections. Clinically there was a soft, diffuse, tender mass in the left buttock, with no evidence of abscess or cellulitis. Most of these conditions aren’t. Soft tissue sarcoma is a rare type of cancer that starts as a growth of cells in the body's soft. Pain In Left Buttock Cheek Cancer.
From www.medindia.net
Anal Cancer Cancer of Anal Causes, Symptoms, Staging, Treatment Pain In Left Buttock Cheek Cancer A sarcoma is a type of cancer that develops in bone or soft tissues like muscle, nerves, fat, fibrous tissues, tendons, or blood vessels. Several conditions may cause pain in the buttocks, and the likelihood it’s caused by cancer is very low. Clinically there was a soft, diffuse, tender mass in the left buttock, with no evidence of abscess or. Pain In Left Buttock Cheek Cancer.
From pereaclinic.com
What causes buttock pain and what can be done about it? Pain In Left Buttock Cheek Cancer Soft tissue sarcoma is a rare type of cancer that starts as a growth of cells in the body's soft tissues. A sarcoma is a type of cancer that develops in bone or soft tissues like muscle, nerves, fat, fibrous tissues, tendons, or blood vessels. Most of these conditions aren’t. Sarcomas can grow anywhere in the body, but they. Clinically. Pain In Left Buttock Cheek Cancer.